Skip to content
About Us
Close About Us
Open About Us
Memberships
Financing
Patient Portal
About
Blog
About
Blog
Services
Close Services
Open Services
Lasers
Facials
Injectables
Face
Non Surgical Facelift
Endolift Facial Treatment
Neck Tightening
Skin Resurfacing
Skin Tightening
Acne Scar Removal
Acne Treatment
Hyperpigmentation
Skin Lightening
Melasma Treatment
Non Surgical Facelift
Endolift Facial Treatment
Neck Tightening
Skin Resurfacing
Skin Tightening
Acne Scar Removal
Acne Treatment
Hyperpigmentation
Skin Lightening
Melasma Treatment
Body
Body Sculpting
Endolift Body Contouring Treatment
Cellulite Reduction
Laser Hair Removal
Laser for Pain
Stretch Marks Removal
Tattoo Removal
Body Sculpting
Endolift Body Contouring Treatment
Cellulite Reduction
Laser Hair Removal
Laser for Pain
Stretch Marks Removal
Tattoo Removal
Others
Spider Veins Removal
Varicose Veins Removal
Warts and Moles Removal
Hair Growth
Spider Veins Removal
Varicose Veins Removal
Warts and Moles Removal
Hair Growth
Facials Overview
Chemical Peels
Dermalaser Facials
Hydrafacials
Microdermabrasion
Microneedling
Vi Peels
Facials Overview
Chemical Peels
Dermalaser Facials
Hydrafacials
Microdermabrasion
Microneedling
Vi Peels
Injectables Oveview
Botox
Fillers
Letybo
Injectables Oveview
Botox
Fillers
Letybo
Specials
Testimonials
Gallery
Patient Center
Close Patient Center
Open Patient Center
Memberships
Financing
Patient Portal
Memberships
Financing
Patient Portal
Memberships
Financing
Patient Portal
(470) 695-4138
Book A Free Consultation
(470) 695-4138
Book A Free Consultation
Before and After Gallery
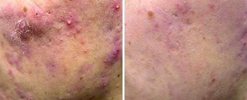
Acne Treatments
Fotona 4D®
Hair Restoration
Laser
Neck Lift
Non Surgical Facelift
Tightsculpting
Acne Treatments
Fotona 4D®
Hair Restoration
Laser
Neck Lift
Non Surgical Facelift
Tightsculpting
Case 1
Gender: Female
View Case
Case 2
Gender: Male
View Case
Case 3
Gender: Male
View Case
Case 4
Gender: Female
View Case
Case 5
Gender: Female
View Case
Case 1
View Case
Case 2
View Case
Case 3
View Case
About Us
About
Blog
Services
Lasers
Lasers Overview
Face
Non Surgical Facelift
Endolift Facial Treatment
Neck Tightening
Skin Resurfacing
Skin Tightening
Acne Scar Removal
Acne Treatment
Hyperpigmentation
Skin Lightening
Melasma Treatment
Non Surgical Facelift
Endolift Facial Treatment
Neck Tightening
Skin Resurfacing
Skin Tightening
Acne Scar Removal
Acne Treatment
Hyperpigmentation
Skin Lightening
Melasma Treatment
Body
Body Sculpting
Endolift Body Contouring Treatment
Cellulite Reduction
Laser Hair Removal
Laser for Pain
Stretch Marks Removal
Tattoo Removal
Body Sculpting
Endolift Body Contouring Treatment
Cellulite Reduction
Laser Hair Removal
Laser for Pain
Stretch Marks Removal
Tattoo Removal
Others
Spider Veins Removal
Varicose Veins Removal
Warts and Moles Removal
Hair Growth
Spider Veins Removal
Varicose Veins Removal
Warts and Moles Removal
Hair Growth
Facials
Facials Overview
Chemical Peels
Dermalaser Facials
Hydrafacials
Microdermabrasion
Microneedling
Vi Peels
Facials Overview
Chemical Peels
Dermalaser Facials
Hydrafacials
Microdermabrasion
Microneedling
Vi Peels
Injectables
Injectables Oveview
Botox
Fillers
Letybo
Injectables Oveview
Botox
Fillers
Letybo
Specials
Testimonials
Gallery
Patient Center
Memberships
Financing
Patient Portal
Memberships
Financing
Patient Portal
(470) 695-4138
Book A Consultation